こんなお悩みはありませんか?
- 歯が抜けてしまった
- 入れ歯が合わず痛みが出る
- 入れ歯だと他の歯に影響が出ると言われた
- 咬み合わせが悪く違和感がある
- 入れ歯治療をした前歯が不自然
川越歯科医院では、口腔内の状況を踏まえてあなたに最適な治療方法をご提案しております。インプラントをすべきか迷っている、そもそもどんな治療をすべきか分からない…悩みを相談したい…そんな患者様は、ぜひ一度当院へお越しください。
ご予約・お問い合わせはこちら
お電話いただくと受付につながりますので「インプラントについて話を聞きたい」旨をお伝えください。
広島でインプラント治療を受けるなら川越歯科医院
これ以上、一本も歯を失いたくない方へ
当たり前ですが、一度抜けてしまった歯は、生えてきません。
抜けた歯の代わりとして部分入れ歯やブリッジなどの治療法もあります。
しかし、場所や範囲によっては隣り合う健康な歯に負担がかかってしまい、最悪の場合抜歯に至る可能性もあります。

これ以上一本も歯を失いたくない!
残った歯はできるだけ削らず大事にしたい!

インプラントでしたら、他の歯への影響を最小限に抑えた上で、まるで天然歯のような自然な歯に仕上げられます。
- 痛みや違和感を最小限に抑えたい
- 笑っても金具が見えない、自然な見た目にしたい
- 長く保てる歯を作りたい
- 歯を気にせずに食べられるようになりたい
そんな方には、インプラントがオススメ
川越歯科医院では、患者様一人ひとりのご希望に合わせて治療を進めていきます。
そして、手術後は定期的なメンテナンスを通して、インプラントを長く安心してお使いいただけます。
インプラントとは?
そもそも、インプラントとはどんな治療なのでしょうか?
歯科治療では、あごの骨に人工の歯根を埋め込み、人工歯を取り付けたものを「インプラント」と呼びます。
重度のむし歯や歯周病、事故・怪我などで歯を失ってしまった際でも、1本から埋入が可能で、若い方もご高齢の方も受けられる手術です。

インプラントのメリット
入れ歯にすべき?インプラントにすべき?
迷う方も多いのではないでしょうか?
- 自分の歯と同じように咬める
- 見た目が自然
- 入れ歯のように取り外ししなくていい
- 健康な歯を削らずに治療できる
このように、入れ歯にはないメリットがインプラントにはあります。
⚠️インプラント後は今まで以上にお口の健康管理を!
インプラントには、メリットと同時にデメリットもございます。
まずは「インプラントになった原因を知り解決しなければ、インプラント治療を行ってもまたダメになるかもしれない」ということ。
歯が抜けてしまった原因はそれぞれです。
- 「なぜ歯が抜けてしまったのか?」
- 「どうすれば防げたのか?」
- 「自分の口腔内は今どんな状態なのか?」
を知り、ご自身に合った予防をしなければ、インプラントも他の天然歯も悪くなってしまいます。
また、インプラントは歯周病になるリスクが天然歯より高いというデメリットもあります。インプラント治療後は、必ず定期的なメンテナンスにお越しください。
ご予約・お問い合わせはこちら
お電話いただくと受付につながりますので「インプラントについて話を聞きたい」旨をお伝えください。
広島でインプラント治療を受けるなら川越歯科医院
川越歯科医院のインプラントの特徴
当院がインプラントに選ばれるのには、理由があります。
特徴01
経験豊富な歯科医師が在中
手術は理事長である川越亮利が担当。これまで数多くの手術を行い、入れ歯・インプラントの講師としてインドネシアの大学で教鞭を取った経験もあります。
インプラント認定医とともに治療計画を立案し、難症例の患者様には出張オペで対応。
他院で「インプラントは無理」と断られた患者様も、当院でインプラント治療を行い完治した事例が多数ございます。
高度な治療についても、当院へお任せください。

特徴02
持病のある方、初めての手術の方も安心
心電図、血圧、SpO2(酸素飽和度)を測りながら治療するため、ご本人もご家族も安心して手術を受けていただける環境です。口腔外科の歯科医師もいるため、持病をお持ちの患者様もご安心ください。
また、当院では初めて手術を受ける方、歯科治療が怖い方に対して、ご希望に応じて半分眠った状態で手術を受けられる静脈内沈静下の手術を行うことができます。

特徴03
審美性と機能性を兼ね備えた仕上がり
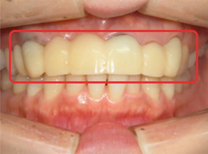
前歯は特に審美にこだわり、天然歯と区別がつかないほどの自然な仕上がりを目指しています。
顎関節の治療を行う当院では、インプラントをする部位だけでなく、顎を含めた口腔内全体の治療方針を立てられます。インプラント部分の咬み合わせだけでなく、顎関節との調和を図りながらの治療をすすめ、審美面も機能性でも身体に調和した治療を行います。

特徴04
他院での治療のお悩みも解決
現在他院で治療を受けられている方も、お気軽にご相談ください。
「歯を何度治療してもすぐ痛くなる」
「ブリッジを勧められたけど、他の歯に影響ないのかな」
そのお悩みを抱えて来院される患者様もたくさんいらっしゃいます。CTをはじめ検査に使用する機器が揃っていますので、セカンドオピニオンとしてご相談にお越しください。

患者様の声
これまでのように食事を楽しみたい、以前の歯並びに戻りたい…。
インプラントなら叶えられます。
Aさん
(33歳)
痛みと治療を繰り返す歯にお困りの方
前の医院で右下の奥歯を治療してもらっていたけれど、それでもずっと歯が痛くて…。川越歯科医院を紹介されて来院しました。
治療概要
| ご希望 | 前の医院の治療がうまくいかず、歯の痛みを治す方法を知りたい。 |
|---|---|
| 治療内容 | むし歯治療をした歯の根元に穴が開いており、膿が発生。歯を残しても再発の可能性があるため、抜歯し、インプラント治療へ。 |
| 治療期間・回数 | 約6ヶ月・6〜8回 |
| 費用 | 41万円 〜 45万円 |
| 想定されるリスクと副作用 | インプラントとGBR(歯槽骨を再生する治療)を同時に行うと痛みが1~2週間続く、腫れ、内出血 |


埋入二年後
手術を終えて
お口全体を診て、私の歯を長く残すための方法を考えていただけました。
先生から一言
ブリッジという方法もありましたが、隣り合う天然歯が綺麗な状態だったのでできるだけ周りの歯も綺麗に残せる方法をと思い、インプラントをご提案しました。結果、他の歯に影響を与えることなく、術後経過も順調です。
Bさん
(45歳)
通院先ではインプラント手術を受けられない方
治療のために抜歯するも、通っていた歯科医院ではインプラントを取り扱っていませんでした。インプラントができると知り合いから紹介されて、川越歯科医院に行きました。
治療概要
| ご希望 | 抜歯した後、放置していた左下奥歯に歯を入れたい。 |
|---|---|
| 治療内容 | 抜歯後からおよそ6年経過し頬側が吸収したため、インプラントを埋入及び頬側GBR(歯槽骨を再生する治療)。 |
| 治療期間・回数 | 4ヶ月・5~7回 |
| 費用 | 41万円 〜 44万円 |
| 想定されるリスクと副作用 | 1~2週間の痛み、腫れ、内出血。 |


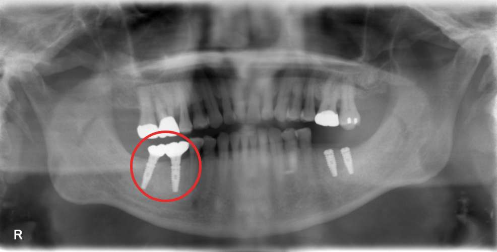
上部構造装着後のレントゲンと口腔内写真
手術を終えて
他院で抜歯から時間が経っていたので不安なまま過ごしていました。今は、大好きなホルモンを美味しく感じられて幸せです。
先生から一言
抜歯から6年経過しており、インプラントを入れるには骨が減っていましたが“インプラントを入れたい”という患者様のご希望に沿うことができました。お肉屋さんを経営されているので、これからより一層大好きなお肉をしっかり咬んで楽しんでいただけたらと思います。
Cさん
(31歳)
自然な歯を求める方
大学時代にモデル事務所から前歯を整えるように言われ、神経を抜く手術を受けました。あまりの痛みに治療を続けられず放置してしまい、抜歯に。
前歯数本が仮歯の状態なのをずっと気にしていたところ、歯科衛生士の母のかかりつけ医院である川越歯科医院がインプラントをしていると聞き、来院しました。
治療概要
| ご希望 | 自然な前歯を入れたい。 |
|---|---|
| 治療内容 | 長い間仮歯の状態。インプラントを埋め込み、天然歯のような自然な仕上がりを目指す。 前歯2本を抜歯し、同時に3本のインプラント埋入とGBR(歯槽骨を再生する治療)を行う。長い治療期間でも生活の質を保つために、口腔内の状況に合わせた仮歯を装着。 |
| 治療期間・回数 | 1年~1年6ヶ月・10~15回(仮歯の調整に回数がかかります。) |
| 費用 | 200万円 〜 250万円 |
| 想定されるリスクと副作用 | 1~2週間の痛み、腫れ、内出血。 |


手術を終えて
笑った時に自然な口元になりたいという思いでお願いしました。母が「何とかなりませんか?」と相談した際も「治療期間が長くなるけれど、時間をかけてでも綺麗な仕上がりになるようなんとかします」と私に合った方法を考えてくれました。
先生から一言
術後、泣いて喜んでくださったのを覚えています。笑った時のスマイルラインも自然で、人工歯には思えません。天然歯かインプラントか、歯医者さんが見ても分からないと思います。
Dさん
(60代)
インプラントが折れてしまった方
5年前、右側に入れたインプラントが折れてしまいました。他院で受けた治療でしたが、川越歯科医院へ相談に行きました。
治療概要
| ご希望 | 他院で受けた手術だったけれど、川越歯科医院で再度インプラントを入れ直してほしい。左側もうまく咬めないので、これを機にインプラントにしたい。 |
|---|---|
| 治療内容 | 右側のインプラントを撤去し同時に埋入。完治後に左側もインプラントにしたいとの要望を受け、抜歯とともに埋入。 |
| 治療期間・回数 | 3〜5ヶ月・4〜6回 |
| 費用 | 40万円 〜 44万円 |
| 想定されるリスクと副作用 | インプラントとGBR(歯槽骨を再生する治療)を同時に行うと痛みが1~2週間続く、腫れ、内出血 |




手術を終えて
楽に治療を受けたかったので、静脈内鎮静法の効果で半分寝た状態で治療を受けることができました。実は、インプラントが一度折れてしまったので今回もインプラントするかを迷っていました。
先生から一言
インプラントの撤去と埋入を同時に行い、手術回数が少なく済むようにしました。できるだけ手術回数を減らしたい、怖い思いをしたくないなど、小さなご要望でもなんでもお話しください。できる限り叶えられるよう、最善を尽くした治療を行います。
Eさん
(60代)
他院でインプラントを断られた方
インプラント希望でしたが、かかりつけ医院では「骨の量が少ないので無理」と断られてしまいました。知り合いの紹介がきっかけで来院しました。
治療概要
| ご希望 | 他院で断られてしまったが、インプラントにしたい。 |
|---|---|
| 治療内容 | 骨の量が少ないため、インプラント埋入治療を並行して骨の再生治療を行う。 |
| 治療期間・回数 | 6ヶ月・5〜6回 |
| 費用 | 90万円 〜 100万円 |
| 想定されるリスクと副作用 | インプラントとGBR(歯槽骨を再生する治療)を同時に行うと痛みが1~2週間続く、腫れ、内出血、感染のリスクあり。 |




手術を終えて
他院で骨が少ないと断られていたので、骨を作ることができるなんて知りませんでした。最初の相談から親身になって話を聞いていただき、治療計画を立てていただきました。
先生から一言
当院では骨の再生治療も行っているため、これまでインプラントを断られた方はぜひ一度ご相談にお越しください。また、今回は手術回数を減らせるよう、骨の再生治療とインプラント埋入治療を並行して行いました。
Fさん
(55歳)
前歯のセラミックが外れてしまった方
他院で入れた前歯のセラミックが取れてしまったため、相談に行きました。
治療概要
| ご希望 | 両隣のセラミックは外したくない。また、治療期間を短くしてほしい。 |
|---|---|
| 治療内容 | セラミックの中はむし歯になっており、歯が割れている状態だったため、インプラントを提案。治療期間を短くするために抜歯即時埋入し、かつ骨の再生治療を行う。左上1セラミックの脱離に対し、抜歯即時埋入+GBR(歯槽骨を再生する治療)。 |
| 治療期間・回数 | 6〜8ヶ月・8〜10回 |
| 費用 | 45万円 〜 55万円 |
| 想定されるリスクと副作用 | 1~2週間の痛み、腫れ、内出血。 |


手術を終えて
こちらの希望に合わせて、最善のプランを提案いただきました。
先生から一言
手術部位が前歯であるため、いかに自然で綺麗な仕上がりにできるか、審美性を追求しました。「隣在歯を残したい」「治療期間を短くしたい」とのご希望を叶えるためのベストをご提案し、ご満足いただけました。
Gさん
(82歳)
現在入れ歯をご利用の方
総入れ歯がすぐ外れてしまうようになりました。食べ物を咬みにくい、硬いものも咬めません。
全てインプラントにするわけにはいかないですし、どうすればいいでしょうか…。
治療概要
| 治療に関して |
入れ歯の使用感にお悩みの方へ、インプラントと入れ歯を組み合わせた治療をご提案しています。 下の歯を全てインプラントにすると、300万円ほど費用がかかりますが、入れ歯と組み合わせると費用を4分の1にまで抑えられます。 |
|---|
先生から一言
インプラントと組み合わせるだけで“お餅を食べられるほど、よく咬める入れ歯”に進化します。
これまで多くの患者様がインプラント治療を受けられ、満足のお言葉をいただいております。ご年齢問わず受けられますので、少しでも興味がある方はいつでもご相談ください。インプラント手術、入れ歯の作成、その後のメンテナンスも全て当院が対応いたします!
ご予約・お問い合わせはこちら
お電話いただくと受付につながりますので「インプラントについて話を聞きたい」旨をお伝えください。
広島でインプラント治療を受けるなら川越歯科医院
インプラントについてよくある質問
人体に影響のない手術です。ご安心ください。
金属を使用していないため金属アレルギーの方については問題ありません。
ただ、インプラントの素材にチタンが含まれるため、チタンにアレルギー反応が出る方はご遠慮いただいています。
金属アレルギー・チタンアレルギーをお持ちの方は、手術前に皮膚科の受診をおすすめいたします。
顎の骨の成長の関係で、18歳以上からお受けいただけます。
何歳まで、という制限はありません。
ちなみに、当院のインプラント手術の最高齢は86歳です。
当院では、カウンセリングのみの受付はしておりません。最適なご回答をするためにも、必ず患者様の口腔内を診てからカウンセリングやご相談のご対応をいたします。
カウンセリング・相談は無料です。ご希望の方は診査の費用がかかることをお含みおきの上でご来院ください。
下顎に3ヶ月、上顎に6ヶ月ほどかかります。再生療法で骨を再生させる場合には、さらに3ヶ月〜6ヶ月ほどかかります。
その人の状況や手術内容によって異なるため、おおよそではありますがご参考にしてください。
予約の状況によって異なりますが、手術をすると決めていただいてからは2〜3週間ほどで手術を受けていただけます。
その場で手術日を決められますとその後の予約がスムーズになりますので、来院時にはご予定が分かるものをお持ちください。
インプラントは1本につき以下の金額です。
- ・前歯:¥420,000
- ・臼歯:¥380,000
- ・GBR(歯槽骨を再生する治療):¥30,000 〜 50,000
- ・ソケットリフト(骨補填材を入れて骨を再生する治療):¥100,000
- ・サイナスリフト(より多くの歯を失っている際に用いる再生治療):¥200,000
どの治療を適用するかについては、詳しい検査・診断とご意向確認の上でご提案いたします。
治療計画が決まってから正式な治療費が決定いたしますので、こちらはあくまでおおよその費用としてご参考にしてください。
当院は現金払いのみ受け付けております。高額になりますが、現金でのお支払いをお願いいたします。
問題ありませんが、転院先でインプラント治療に使用する器具が合わない可能性があります。転院先の歯科医師に伝えるべきことやどんな歯科医院が良いのかなどをお伝えいたしますので、お引越しの際にはご相談ください。
ご予約・お問い合わせはこちら
お電話いただくと受付につながりますので「インプラントについて話を聞きたい」旨をお伝えください。
広島でインプラント治療を受けるなら川越歯科医院




